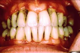
Gum disease




We know that the gum part of the oral cavity and one of its contents, and gum is a tissue mucous soft that part covers installed when the teeth of the jaw bone and help the gums to support the teeth and protect, contain gum tissue meets the thick covered by a mucous membrane and pass through the gums, blood vessels and lymph carrying blood and Allimpha of the face and jaws, and to them. The gums are rigid solid color with some red patches, gums and are Bnicp about each age and age-related under this Fichu a bit, and result in the presence of a shallow groove between the gum and all the teeth. In that groove start trouble gums.
Enters the oral cavity daily many kinds of foods and drinks in addition to large quantities of air and how it Plankton. These items are often left by some debris inside the mouth, which is in turn a fertile environment for microbial growth and reproduction because of the needed food and moisture and temperature suitable, leaving there in the calm until you find the right opportunity Vngzo tissue and kill updated inflammation and suppuration of the gums, is added to the sometimes provide some catalysts, such as the presence of teeth and teeth emblazoned bad arrangement and dishes, or the presence of false teeth to inferior or other things that has to do with teeth.
Starts with a lot of gum disease when Inhabs in Fila gingival some remnants of food between the teeth and gums, and this happens especially when middle age, when it is inclined gum tissue to shrink from the teeth, may occur so often in the young when their teeth irregular in place or in Vosalha, if not still the food sequestered by cleaning regularly, it decays component of the environment or farm ground for bacterial growth and reproduction, if the injured gum bacterial infections, the body responds to that in a counter-attack, so to send them a larger quantities of blood where the white blood corpuscles to fight The new bacterial invasion. The increase in blood Ktherth gum to increase Ohmrarha and bleed easily, and tend to become inflamed, swell, a situation called gingivitis may cause inflammation of the gums from dental fillings pink or combinations of non-court situation. It may also cause the vulnerability of public health or some types of infection.
We must hasten to consult a specialist doctor who specializes in dental, therapies when bleeding gums, easily, or show a sign of inflammation other so as not to disease takes hold, leading to serious trouble gum, you may develop inflammation of the gums that is not addressed to suppuration of the gums or what is known Balbuoria a disease of Thuy serious In this disease is spreading inflammation and suppuration, M.Sc., where most dental Tngrz updated degeneration gradually chipped away at the bone with teeth. We must in this case to save the teeth and initiating treatment promptly, before it is too late.
And gum disease other infections Vincent or what is known as the mouth of the trench infection bacterial sharp appear suddenly causing inflammation severe character gums, where it is easy bleeding for less touching or exciting, and is highly aching to the point that swallowing or speech could become building difficult, and signs of this syndrome is characterized by the smell of breath or what is known as Evaporative This evaporation fast progress to deep tissue until it reaches the bone Dardari, dead tissue and accumulate between the teeth and gums, and gum tissue is broken itself. If untreated the disease in the wake of speed and flexibility of concrete, the sores may spread to the existing Alcdeghin, lips, throat and tongue.
Is there a herbal medicine for the treatment of inflammation and suppuration of the gums?
- Yes, there are a number of herbs have a significant impact on inflammation and suppuration of the gums and the most important are the following:
- Fenugreek Fenugreek
We talked about the ring repeatedly, but we will talk about in this article as a remedy protective Kgsol of the mouth to protect the gums from infection or sepsis and the way be taken to fill a teaspoon of powder of the arena and placed in a container to fill a glass of water then put the pot on the fire until the beginning of the boil then cover and leave to soak for 15 minutes and then filtered and boiled in this mouth wash this boiled several times a day.
- Triple-Root Fennel Root
We talked about the Triple in previous articles and he knew some people Bachammr or fennel, and some people call it cumin and this is wrong There is a difference between Triple-latency, our conversation was in the previous articles focused on the benefits of the Triple. Scientists have found that boiled powdered root of the Triple has a significant impact in the treatment of gingivitis where taken to fill one teaspoon of powdered root of the Triple-added to fill the cup of boiling water and leave for 15 minutes and then filtered and then gargling it is lukewarm and the process repeated several times a day until the situation improves gum.
- Willow Willow
And plant a willow of the most popular plants where used for thousands of years in Europe, Africa, Asia and North America, contains the acid Alsakicelik essential precursor to aspirin, and the part used for the treatment of inflammation and suppuration of the gums is the crust, which takes tablespoons edible powder cobalt willows and added to fill a glass of cold water, then cover and leave to soak for three hours, then boiled and then filtered and used for gargling several times a day especially after meals and when you go to sleep in the evening.
- Oak Common oak
The plant oak or what is known as Balsandian of plants known in Okhcabh strong and used commercially on a large scale, and the oak used in the medical field is also part of the user him peel his legs as well as fruits Aallsip false comprising a product satisfactory to plant oak, used boiled peel oak in the treatment inflammation of the gums and bleeding where taken to fill a teaspoon of powdered cobalt is added to fill the cup of boiling water and left to soak for 10 minutes and then purified and used Cgrgerp and rinse with the same method several times a day after meals and be the last time when going to sleep this evening, noting the preparation of this boiled first first.
- Municipal warm radish Radish
The researchers found that the radishes a strong influence on inflammation and suppuration of the gums has recommended the use of a bunch of radishes a day, divided into three meals and washing their pack Radish well-cleaned and then eaten one third of the package with every meal with the need to chew radishes well and the reason is because the radish municipal contains a quantity of Vitamin C may play a role in the prevention of the disease scurvy, which saves the gums strong, and it preserves the same teeth from damage.
Says Dr. Richard D. Fischer dentist from Onandel, Virginia, and President of the International Academy of Medicine, mouth and Toxicology "has been shown that taking vitamin C in high doses has the same effectiveness in controlling the inflammation of the gums as the use of brush and floss This does not mean only use the brush and floss, but that vitamin C makes gums less likely to bleed and promotes the healing process, "he notes Dr. Fisher, it is working to strengthen the gum tissue, making it less effective with bacteria and other irritants, and recommends that deals with a person at least five servings of fruits and vegetables a day particularly rich in vitamin C such as radishes, broccoli and citrus fruits such as oranges, lemons, tangerines, as well as red peppers, strawberries, tomatoes that are eaten raw.
- Tannins and vinegar
Tannins is the fruit of tamarisk Owalosmar relaxants to plant a willow is a rule Afsip used widely in tanning leather handle and position the drain and use a combination of tannins and vinegar to treat inflammation of the gums and stop the bleeding in terms of boiling on the fire amounted to fill a tablespoon of powdered tannins fill it with a glass of water for only half an hour and then filtered and added to the vinegar and preserves to be used where Amadamadmp alleviate the pain and inflammation of the gums of this method little known in the Levant in the Arab Republic of Egypt.
- Goalkeepers Sage
We talked about discarded in several articles and there is such a European echo around the sage who says "no one dies in the garden grows discarded" and discarded contain volatile oil and materials turbine and Flavo Neidat acid and tannins, acids, phenolic materials and generating estrogen is used widely Kkabdp and disinfectant and Attaran, and expelling the wind and reinforcing and reduced sweating is used to treat inflammation of the gums, where taken to fill a teaspoon of sage and flood fill the cup of boiling water then cover and leave for 15 minutes, then drain then wash the mouth several times a day to be the latest when resorting to sleep in the evening.
- Chamomile Cammomile
Everyone knows that chamomile is one of the teas good for the digestive system is luscious and peptic and repelling winds and disinfectant and it contains a volatile oil is used to treat inflammation of the gums, where taken to fill a teaspoon of the flowers, chamomile, and added to fill the cup of boiling water and leave to soak for ten minutes and then filtered and used gargling several times in the today and continue to do so until the healing grace of God.
- Tea Tree Tea tree
Tree, which has nothing to do with tea known says Victoria Edward processing perfume from Fair Oaks, California: When you look gums inflamed and Mtahjip, add a drop of essential oil extracted from the tea tree to brush your teeth or on your toothpaste, which put on the brush before cleaning your teeth, and this is preventive medication wonderful, Voorac tea have the effect of a natural disinfectant and works to prevent gum disease before it starts.
- Tooth stick
Scientifically proven that the root of the Arak plant material containing disinfectant and cleaner and SUBSIDIARIES Mrqip lethal to bacteria, as it contains material of anti-caries and this reminds us of the words of the Prophet peace be upon him, "Siwak cleanses the mouth and pleases the Lord."
I have written a detailed article on the toothpick in your clinic, Riyadh, therefore, tooth brushing is necessary to clean the mouth and kill bacteria in the mouth and should normally be used by wetting the toothpicks and cut the top of a toothpick every time we use them as active ingredients go with everything Txueqp.
- Garlic Garlic
We talked about a lot of garlic but it is known that the smell of garlic just kill a number of bacteria in the mouth and chew it, the one clove of garlic for a few minutes is enough to kill all bacteria in the mouth, including the diphtheria bacteria.
General Tips
- You should seek help from your doctor if you have appeared to an unpleasant smell in the mouth did not disappear within 24 hours.
- If your teeth seem to have become much longer than it was before as a result of shrinkage of the gums to the teeth.
- If your teeth Makhlkhalp or falling or broken near the edge of the gums.
- If you notice a change in the regularity of your teeth together, or the way it looks by Qdmtk of things.
- If your teeth become a kit does not fit with the gums does not apply to them completely.
- If you were formed Sididip pockets between your gums and teeth
0 commentaires